(Als je op het plaatje klikt, gaat het kloppen)
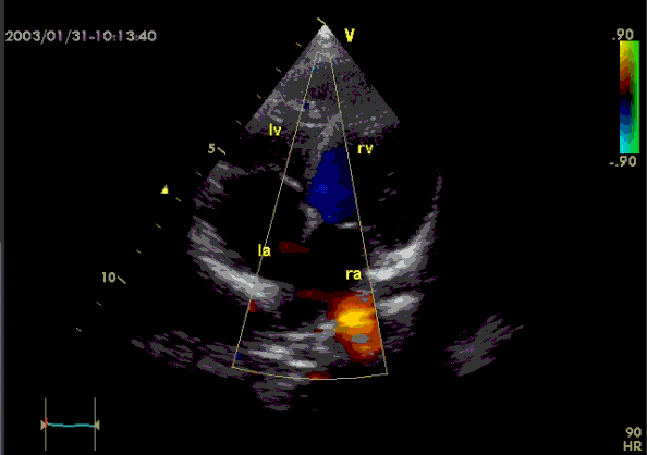
We zitten in een het Lucas ziekenhuis, wachtend op het echofilmpje van haar hart – onderzoek naar mogelijk hartfalen. Dat is dat je hart het zuurstofrijke bloed niet meer goed rondpompt, zodat je koude voeten, koude handen, een koude neus krijgt. En in een gesprek snel buiten adem raakt. We wachten op onze beurt. Mijn moeder doet, om de tijd te verdrijven, het Loerende Mannetje na. Ze doet het goed.
Het komt zo.
Mijn ouders zitten in het Verpleegtehuis. De meeste mensen van hun afdeling zitten overdag in de Huiskamer. Het is niet mijn idee van een huiskamer, het doet mij denken aan een parkeerterrein voor menselijk wrakhout – al klinkt dat onbarmhartiger dan het bedoeld is. Maar ik ben blij ben dat mijn ouders in hun eigen kamer leven. Daarin staan wat eigen meubels – stoelen, kasten, schilderijen, het digitale fotolijstje, de Friese staartklok, boeken, platen, cd’s en de onvermijdelijke oudemansvriend: televisie. Ze hebben er een eigen plek.
Elke dag, tegen twaalf uur ’s middags, gaan mijn ouders naar de huiskamer voor het middageten. Daar heeft iedereen zijn vaste plaats. Mijn ouders hebben een plek aan de mannentafel toegewezen gekregen. Echtparen zijn in het Verpleegtehuis als witte raven: er zijn zoveel meer vrouwen dan mannen, dat er maar één tafel met mannen is – aan alle andere zitten vrouwen. Mijn ouders – gemengd stel, in deze context – zijn aan de mannentafel geplaatst. Anders zou mijn vader zo heel erg tussen vrouwen zitten. Nu zit mijn moeder tussen de mannen.
De mannen negeren haar. Is het een stil verzet? Een onuitgesproken maar volmondig Nee! van mannen die geen inbreng hebben in een tafelgesprek dat sowieso niet meer gevoerd wordt? Op deze plek, waar de helft van de aanwezigen door een beroerte, de rest door dementie getroffen is, kom je daar niet meer achter. Maar hoe dan ook, op het Goedenmiddag van mijn moeder aan de heren krijgt ze geen antwoord. En zij negeer zij de mannen daarom ook. De middagmaaltijd wordt in stilte genoten. ‘Ik negeer hem,’ zegt mijn moeder over het Loerende Mannetje. ‘En hij negeert mij.’ Maar dat kan niet waar zijn. Want ze kan hem heel goed nadoen.
Ht klopt ook al niet omdat mijn vader het loerende mannetje ooit, bij de kennismaking, de hand heeft geschud. De hand geschud! Dat schept een band. Háár negeert hij, maar volgens mijn moeder is mijn vader sinds het handenschudden voor het loerende mannetje een held. Een rolmodel. Af en toe hangt hij in zijn rolstoel voor de deur van hun kamer en kijkt verlangend naar binnen. ‘Je laat hem er níet in,’ sist mijn moeder dan. En het verplegend personeel schiet te hulp. ‘Nee meneer, u mag hier niet naar binnen. Uw kamer is dáár, verderop.’ En zo wordt hij weggeloodst.
We zijn in het Lucas. Het is het tijd voor de echo van het hart. Dat klopt. Regelmatig. Gestaag. Al 91 jaar. Still going strong.




Recent Comments